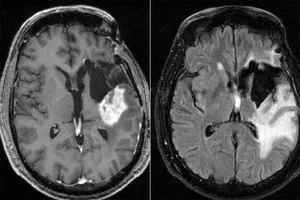
Potent immune cells found near glioblastomas, a possible cure

New Delhi, July 31 Potent immune cells have been found near glioblastomas, typically defined as highly aggressive and typically incurable brain tumours
Researchers at the German Cancer Consortium (DKTK) at the West German Tumor Center Essen have made a new discovery that could revolutionise the treatment of glioblastomas.
In the bone marrow near these tumours, they found clusters of potent immune cells that play a crucial role in the body's defence against cancer.
Glioblastomas have a grim prognosis, with an average life expectancy of less than two years once all therapeutic options are exhausted. However, the new findings reveal that the body's immune system mounts a localised defence against these tumours. This discovery challenges the conventional understanding of the immune system as a holistic entity that sends immune cells throughout the body as needed.
Bjorn Scheffler, a DKTK researcher at the Essen site, described the discovery as "surprising and fundamentally new." The researchers identified highly effective immune cells, including mature cytotoxic T lymphocytes (CD8 cells), in the bone marrow niches close to the tumour. These cells are vital in recognising and destroying malignant cells, suggesting a localised immune response to the glioblastoma.
This research utilised human tissue samples from untreated glioblastoma patients, establishing new methods for examining bone marrow near tumours. The presence of CD8 cells in the bone marrow and their correlation with disease progression suggest that these immune cells are actively combating the tumour.
The discovery has significant implications for current treatment strategies. Ulrich Sure, Director of the Department of Neurosurgery and a member of the Essen research team, expressed concerns that surgical procedures might inadvertently destroy these valuable immune cells. The team is exploring ways to minimise damage to local bone marrow during surgery.
The findings also reignite interest in immunotherapies like checkpoint inhibitors, which aim to enhance the body's natural cancer defences. Previous trials showed limited effectiveness against glioblastomas, but the new data suggests that targeting the localised immune cells in the bone marrow could improve outcomes.
This discovery opens the door to innovative therapies that could provide new hope for those battling glioblastomas.
Source: IANS